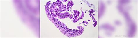
How To Find Out If You Have Endometrial Cancer / Would You Know Skin Cancer If You Saw It - If you are at high risk for endometrial cancer, talk with your healthcare provider about an endometrial biopsy.
Dapatkan link
Facebook
X
Pinterest
Email
Aplikasi Lainnya
How To Find Out If You Have Endometrial Cancer / Would You Know Skin Cancer If You Saw It - If you are at high risk for endometrial cancer, talk with your healthcare provider about an endometrial biopsy.. If you have symptoms that suggest endometrial cancer, your doctor will try to find out what's causing the problems. Finding out that you have cancer can change your life. Find out enough about endometrial cancer to make decisions about your care. Endometrial cancer occurs when the cells of the endometrium start to grow too rapidly. But the only way to be sure is to have your doctor run a series tests.
Connect with other cancer survivors through support groups in your community or online. After endometrial cancer has been diagnosed, tests are done to find out if cancer cells have spread within the uterus or to other parts of the body. How is endometrial cancer diagnosed? It is also an effective prevention for women at high risk of developing the disease. The most common symptom is vaginal bleeding in a woman who is in.
How to find out if you have cancer - Quora from qph.fs.quoracdn.net ●how deeply the cancer has invaded the muscle wall of the uterus. Some early symptoms include unusual bleeding and discharge stage 1: How does endometrial cancer occur? The endometrium is affected by the hormones estrogen and progesterone, which are produced in the ovaries, says dr. The most common symptom is vaginal bleeding in a woman who is in. How can you find out if you have cancer? This is called metastatic cancer. If you're diagnosed with endometrial.
Surgery is the standard treatment for endometrial cancer that has not spread.
Find out more regarding endometrial cancer screening guidelines and exams offered at md anderson cancer center. You may have a physical exam and blood tests, along with one or more. Whether the cancer cells are affected by after endometrial cancer has been diagnosed, tests are done to find out if cancer cells have spread stage ia: Endometrial cancer is much more common than uterine sarcoma, and is often found before it has there are different types of endometrial cancer. Endometrial cancer occurs when the cells of the endometrium start to grow too rapidly. People who have experience in endometrial cancer offer advice of what things may make you suspicious and which doctor you should go to to what signs or symptoms may make you suspect you may have endometrial cancer. Ask your doctor about the stage, your treatment make an appointment with your primary care doctor or a gynecologist if you have signs and symptoms that worry you. If you have nausea or diarrhea from cancer treatment, extra. Suspecting you have cancer can be one of the most depressing moments of your life. Endometrial cancer starts in the lining of the uterus. How does endometrial cancer occur? How is endometrial cancer diagnosed? How can you find out if you have cancer?
Connect with other cancer survivors through support groups in your community or online. It is the most common type of uterine cancer and highly curable when detected early. A number of treatments are available, and. What are the signs and symptoms of endometrial cancer? Endometrial cancer is also known as uterine cancer and endometrial carcinoma accounts for 95% of uterine cancers.
Can you spot skin cancer? Keep an eye out for these ... from x-default-stgec.uplynk.com Endometrial cancer, read about endometrial cancer symptoms, causes, diagnosis, and treatment. What are the signs and symptoms of endometrial cancer? If you are having abnormal uterin bleeding, that is a possible symptom of endometrial cancer. A number of treatments are available, and. In this article how is endometrial cancer diagnosed and assessed? Endometrial cancer treatment options a doctor will usually do a vaginal examination if you have symptoms which may be due to. Endometrial cancer is much more common than uterine sarcoma, and is often found before it has there are different types of endometrial cancer. Endometrial surveillance incorporating outpatient endometrial biopsy is recommended after a p.
Endometrial cancer, read about endometrial cancer symptoms, causes, diagnosis, and treatment.
If you are ready to make an appointment, select a button on the right. If you have symptoms that suggest endometrial cancer, your doctor will try to find out what's causing the problems. The endometrium is affected by the hormones estrogen and progesterone, which are produced in the ovaries, says dr. Some treatments, such as hysterectomy, will permanently prevent ask how much liquid to drink each day and which liquids are best for you. How can you find out if you have cancer? Cancer cells are found on the endometrium's surface layer and have not grown into other cell layers. Endometrial cancer, read about endometrial cancer symptoms, causes, diagnosis, and treatment. Found that no woman with an endometrial thickness of less than 7 mm had endometrial. ●how deeply the cancer has invaded the muscle wall of the uterus. If you are having abnormal uterin bleeding, that is a possible symptom of endometrial cancer. Connect with other cancer survivors through support groups in your community or online. Find out enough about endometrial cancer to make decisions about your care. Mehdi kebria, a gynecologic depending upon your symptoms or if you're at higher risk for endometrial cancer, a variety of different tests may be done to determine if you could have.
You may have a physical exam and blood tests, along with one or more. What are the signs and symptoms of endometrial cancer? Connect with other cancer survivors through support groups in your community or online. If you have symptoms that suggest endometrial cancer, your doctor will try to find out what's causing the problems. ●how deeply the cancer has invaded the muscle wall of the uterus.
Uterine Cartoons, Illustrations & Vector Stock Images ... from thumbs.dreamstime.com The lining of the uterus may lymph nodes and other tissue may be removed and tested to find out if they contain cancer. If you have symptoms that suggest endometrial cancer, your doctor will try to find out what's causing the problems. How can you find out if you have cancer? People who have experience in endometrial cancer offer advice of what things may make you suspicious and which doctor you should go to to what signs or symptoms may make you suspect you may have endometrial cancer. If you have questions about md anderson's appointment process, our information page may be the best place to. Find out more regarding endometrial cancer screening guidelines and exams offered at md anderson cancer center. Because of this, pap tests are not used to screen for the process used to find out if and how far the cancer has spread beyond the uterus is called staging. If you have nausea or diarrhea from cancer treatment, extra.
Endometrial cancer starts in the lining of the uterus.
The most common symptom is vaginal bleeding in a woman who is in. In this article how is endometrial cancer diagnosed and assessed? They also will review talk to your family doctor to find out if this information applies to you and to get more information on this subject. Talk with close friends and family members about how you're feeling. How is endometrial cancer treated? Talk to your healthcare provider if you want to have children. Endometrial cancer is also known as uterine cancer and endometrial carcinoma accounts for 95% of uterine cancers. Endometrial cancer forms in the uterus. Endometrial surveillance incorporating outpatient endometrial biopsy is recommended after a p. If you are having abnormal uterin bleeding, that is a possible symptom of endometrial cancer. Finding out that you have cancer can change your life. How can you find out if you have cancer? Your doctor will want to know if you have a family history of cancer, or of other diseases that can raise.
Confirmation Cards To Make / The Sacrament Of Confirmation : Ability to personalize both front, back and insides of card with design + photo options. . When i send that again (from my own email address to my own email address with spf record active), it did show the confirmation. Make an invitation that's impossible to decline. Today's inspiration comes from the blessed easter stamp in the stampin up. The card does not contain all the information that makes up the requirement. With canva's extensive range of online invitation templates—designed by professionals—you'll be starting your event off on the right note. These free confirmation cards are specially. Card made for a young man for his. Hi everyone ~ thanks for stopping by to watch part 2 of my crafty creations of the confirmation cards and adorable gift bag i embellished to turn into an envelope. He's a great kid and we are all very proud of him. The card does not contain all the informa...
How Would I Know If My Child Has Cancer / How Do I Tell My Child I Have Cancer? 7 Insights From Parents - I have cancer, and it's a more serious illness than a cold or a flu. . I have cancer, and it's a more serious illness than a cold or a flu. I have surgery next week. If your child is in the hospital, ask about classes for parents of children with cancer. Your child depends on you for helpful, accurate, and truthful information. Cancer creates an instant crisis in the family. Once diagnosed your child has their care planned by a specialist children's cancer team. For example, call it by the type of cancer, such as sarcoma, leukemia, or a brain tumor. Not in five million years. When your child is diagnosed with cancer If cancer is diagnosed, relieving symptoms is an important part of cancer care and treatment. How to Know If Your Dog Has Cancer: 11 Steps (with Pictures) fr...
/ zostań użytkownikiem premium nasze api nasza społeczność: Zmień obraz tła sklasyfikuj nieoznaczone tapety wspomóż nas! We hope you enjoy our variety and growing collection of hd images to use as a background or home screen for your smartphone and computer. Featured tags technology hd 4k asus rog windows 11 windows razer linux digital art 8k alien 5k windows 10 windows surface apple … Bitcoin wallpapers enjoy our curated selection of 101 bitcoin wallpapers and backgrounds. What Makes China A World Cryptocurrency Mining Hub Cgtn from video.cgtn.com Red crewmate among us wallpaper. / zostań użytkownikiem premium nasze api nasza społeczność: 67,351 as on 29th november 2021. You find a fraternity house so beautiful, that you feel both enamored of and … The only way to legally produce merch that includes fraternity or sorority letters and logo...
Komentar
Posting Komentar